How it all Started
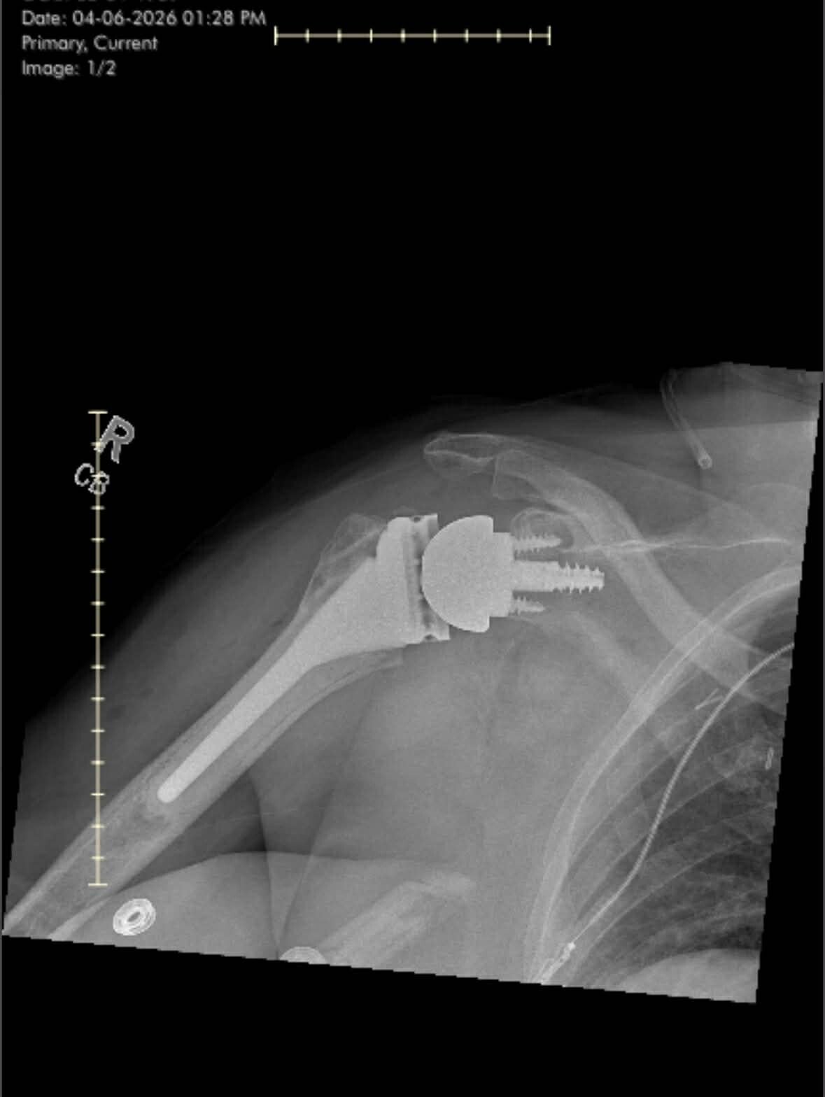
For the past four months (approx. November), I’ve been having problems with my right arm/shoulder. The same one that I broke three years ago on a customers porch during an ice storm ( I work for Shipt a shop and delivery grocery service). Haven’t been able to lift with that arm without hurting. Went to my primary physician. He thought it was rotator cuff injury. He took NO x-rays. Sent me to physical therapy. I went to physical therapy for three weeks for what they thought was “Frozen Shoulder”. It wasn’t getting any better, actually getting worse with each session. The physical therapist then sent me to the orthopedic doctor. I had appointment with him on February 5. They took x-rays. And then told me that I had severe arthritis in my arm/shoulder. Where I had the fracture before. It was very irregular on the ball of my arm, causing me pain. He named some temporary fixes, but it all comes down to I need a total reverse shoulder replacement. I had a CT scan on 2/12. Then we will be setting up surgery shortly after that. Right now probably end of March beginning of April.

